Single Quiz

/3

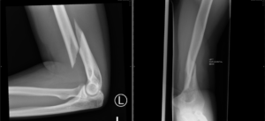
Case 2 - Arm Injury

A 30 year old lady, presents to ED with an injury sustained while weight lifting at the local gym.

1 / 3

1) Describe the X-ray

 

2 / 3

2) Outline the management Priorities

 

3 / 3

3) List out the potential complications

 

0%

/3

Case 1 - Ankle Injury

A 20 yr old male has his right foot caught under his bike after losing control and falling off at very low speed in his driveway.  He did not have a headstrike. He has had a basic splint applied by paramedics on his way into your ED.

1 / 3

1) Describe the likely injury seen in this photo.

 

2 / 3

2) List 2 investigative priorities for this injury.

 

3 / 3

3) Outline 4 principles of management for this injury. including details of medications and adjuncts.

 

0%

Go to Top